Hernia


El Dr. Hernández se especializa en el tratamiento quirúrgico de todo tipo de hernias. Al tratar hernias complejas, sigue un plan de tratamiento cuidadosamente diseñado para garantizar resultados óptimos. Se realizan estudios de laboratorio y de imagen y se explica el plan quirúrgico. El Dr. Hernández es especialista en el manejo no solo de hernias estándar, sino también de los casos más desafiantes y exigentes.
¿Qué es una hernia compleja?
Una hernia compleja suele presentarse en el sitio de una reparación previa de hernia o de una incisión quirúrgica. La presencia de una fístula o la colocación previa de una malla pueden complicar aún más la reparación. Los pacientes deben buscar a un especialista en reparación de hernias complejas si presentan:
Un defecto herniario mayor de 8 cm
Pérdida del dominio abdominal
Fístulas o antecedentes de infección de malla
Múltiples reparaciones fallidas de hernia
Antecedentes de cirugía abdominal abierta
Índice de masa corporal (IMC) >35
Condiciones médicas de alto riesgo como diabetes, obesidad o antecedentes de tabaquismo.
Causas de las hernias complejas
Una hernia ocurre cuando un órgano o tejido sobresale a través de una abertura en la pared abdominal o la ingle. Entre los factores que contribuyen a su desarrollo se encuentran:
Cirugías abdominales previas
Levantamiento de objetos pesados
Diarrea o estreñimiento crónico
Obesidad
Tos o estornudos prolongados (por ejemplo, EPOC)
¿Quién necesita reconstrucción de la pared abdominal?
Los pacientes con hernias complejas, antecedentes de reparaciones fallidas de hernia o traumatismo abdominal pueden requerir una reconstrucción de la pared abdominal. Las hernias grandes pueden causar deformidades abdominales, molestias y un impacto significativo en la calidad de vida. Estas hernias no se resuelven sin intervención quirúrgica.
El procedimiento.
La reconstrucción de la pared abdominal puede realizarse mediante técnicas abiertas, cirugía laparoscópica o con Robot da Vinci, dependiendo de la complejidad del caso. El procedimiento se lleva a cabo bajo anestesia general e incluye el reposicionamiento de músculos y fascia, así como la colocación de una malla para reforzar la reparación. La duración de la cirugía varía, pudiendo ir de dos a cinco horas o más, dependiendo de factores como la edad del paciente, su historial médico, el tamaño de la hernia y complicaciones previas.
Para optimizar los resultados, el Dr. Hernández emplea técnicas de preacondicionamiento antes de la cirugía, incluyendo inyecciones de toxina botulínica tipo A (BTX) y neumoperitoneo progresivo (PPP), lo que mejora la flexibilidad y la adaptación de la pared abdominal.
La experiencia del Dr. Hernández en la reparación de hernias complejas y reconstrucción de la pared abdominal garantiza que los pacientes reciban la más alta calidad de atención quirúrgica, mejorando su comodidad y calidad de vida.










Hernia multi operada
Hernia recidivante
Hernia Compleja
Hernia Gigante
Nuestro equipo tiene amplia experiencia en la reparación de este tipo de hernias, las cuales a menudo son de difícil tratamiento por lo que su manejo debe ser por especialistas en el tema.






Prehabilitación de la Pared Abdominal




Así se operan las hernias complejas.
Empleamos BOTOX en la pared del abdomen, esto relaja el abdomen y los músculos para evitar recidivas o recurrencias de la hernia COMPLEJA.
Pneumoperitoneo Progresivo
Empleamos CO2 para insuflar el abdomen de forma progresiva para aumentar aún más la relajación del abdomen.
Prehabilitación de la Pared Abdominal


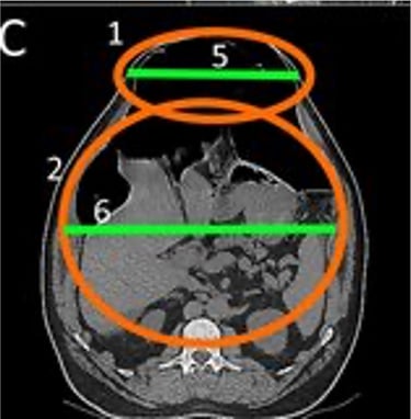
Realizamos una Tomografía Axial Computarizada con reconstrucción en 3D de la Pared Abdominal y de la hernia, cuando corroboramos que todo está listo, el siguiente paso es elegir el tipo de malla quirúrgica a colocar en la cirugía.


Elección de la Malla
Elegimos el mejor tipo de malla para tu hernia.




Somos Especialistas en HERNIAS


















Agenda tu cita
Cirugía bariátrica, biliar, digestiva y mínima invasión de Alta Especialidad.


Certificaciones
Cirugía General: C24013124
Cirugía Bariátrica: CB250033
Verifíca aqui: https://conacem.org.mx
Publicidad 2509142002A00557 COFEPRIS: 2509145036X01317
